Dental crowns bangkok

What is a dental bridge?

A dental bridge is a dental appliance that replaces one or more natural missing teeth, thereby bridging the space between two teeth. A dental bridge is a false tooth which is fused between two porcelain crowns to fill in the area left by a missing tooth. The two crowns holding it in place are attached onto your teeth on each side of the false tooth.

  1. Bridges over natural teeth
  2. Implant-support bridges

Missing gaps replacement with dental Bridges

If you have recently removed a tooth, missing gaps should be replaced to prevent long-term problems such as crooked teeth and bone loss. Dental bridges is an replacement option, get an online consultation at BIDH dental bridge clinic.

Types of Bridge

bangkok dental bridge

Dental Bridges Restorations

Dental bridges replace missing gaps between healthy teeth. The adjacent natural teeth to the missing gap act has anchors. They are preped and a set of crowns (crowns connected and bonded to form a bridge) is fitted to close the gap.

  1. Traditional fixed bridges: Conventional dental bridge consists of 3 or more crowns that are bonded together to form a bridge. The false tooth that replaces the actual missing gap is called a pontic.
  2. Cantilever bridges: This type of bridge is anchored to only over one natural tooth relative to the traditional bridge of 2 or more teeth. Cantilever bridges is not commonly done because it can causes excessive force over the supporting natural tooth over the long-run.
  3. Maryland bridges: Often used to replace missing teeth at the anterior area, it is a bridge with wings. They are sometimes known as resin-bonded bridges. Maryland bridges do not adhere well and can detach.

As dental briges are composed of crowns. The bridge materials, brands and materials follows the same as dental crowns.

full bridge implants

Implant-Supported Bridges

If there are 3 or more missing gaps in a row or posterior gap with only one-sided adjacent tooh, dental implants are a good replacement options. The implant post act as new tooth roots. A set of 2 or more connected crowns (bridge) are placed as false teeth over the implants posts.

Dental implant supported bridges do have several benefits to conventional dental bridges:

  1. Implant bridges are strong and stable. They are tight and fixed.
  2. You will no longer have caries as implant posts are made of titanium and will never decay.
  3. Unlike traditional bridges whereby your natural adjacent teeth teeth needs to be prepared as supporting teeth to anchor the bridge, implant-support bridges are placed over implant posts. This saves and maintains your adjoining teeth.
  4. With dental bridges, this can correct an altered bite
  5. Implant-supported bridges improve your chewing ability because they are anchored on strong new base implant foundations.
  6. Like all natural dental bridges, you safeguard your appearance by preventing the collapse of facial features that can cause premature wrinkles and age lines from missing teeth.

There are various dental implant systems available, BIDH dental bridge clinic uses:

  1. Strumann implants
  2. Nobel Biocare implants
  3.  SIC Invent (Swiss implants)

For dental bridges placed over implant posts, there are also varying ranges of bridge materials:

  1. PFM standard alloy bridge (palladium)
  2. All ceramic zirconia bridges

Why Dental Bridges?

  1. Tooth bridges restores your natural look by replacing missing gaps and ability to speak normally
  2. Facial structure is maintained with the fixed bridge teeth replacments. It also prevents bone loss of missing tooth site.
  3. New teeth enables you to chew food properly without missing gaps.
  4. The dental bridge prevents surrounding teeth from shifting into the gap that can cause future problems with the bite, crooked teeth and result in other complications.

Dental bridges replaces missing teeth and prevents long-term issues of crooked teeth, facial appearance support. It is fixed and easy to maintain.

bangkok dental patient

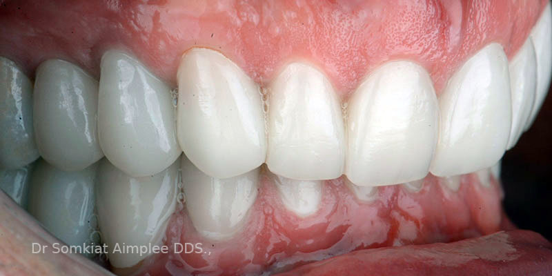
Dental Bridges Cases

Missing anterior tooth

Before

bangkok tooth bridge

After

No back teeth

Before

bangkok dental bridge

After

Missing teeth

Before

bangkok dental bridge

After

Cases by DSD Master Expert Thailand Dentists – BIDH Dental Hospital Ploenchit

Questions on Dental Bridge

During your first consultation visit with your prosthodontist at our dental bridge clinic. A x-ray and treatment plan will be draw up on your missing gap options and the type of bridge suited and available to for your specific case.
 

For traditional bridges, the procedure is completed within 2 to 3 visits. With confirmation for dental bridge treatment, your bridge dentist reshapes natural teeth adjoining to the missing gap. A tooth impression is then taken along with chosen color, size and shape of your bridge. Temporary composite crowns are fitted over the prepared adjacent teeth.

The dental lab fabricates your permanent bridges based on your tooth impression. On delivery, your prosthodontist makes an appointment to remove the temporary crowns and the permanent bridge is sealed into place.

 
A re-check visit made be requested by your dentist to see if your new dental bridges is functioning properly or for any required adjustments.

Dental implants are ideal teeth replacement solutions. For implant-supported bridges, this may replace several missing gaps or full arch missing teeth.

Before the dental bridges may be fitted, the dental implant posts will need to be first intalled. During your first visit, x-ray imaging and possible CT Scan are taken to check on your bone condition. Your dental implant post positioning is planned. If there is insufficient bone, your implantologist may recommend bonegrafts. You are also able to talk to your implant dentist about sedation services should you feel anxious or phobia on surgery.

During the day of implant placement, anesthesia is first adminstered. The implant posts are placed into your jaw bone. A healing cap are placed over the implant posts whilst your bone and gums are left to heal. During this osseointegration waiting period for the implant post to heal with the jaw bone, you are able to wear temporary dentures or prosthese.

After 2 months or more, a post implant x-ray is taken to check on the healing before the dental bridge over implant is installed over the implant posts. Your prosthodontist removes the healing cap and places in implant abutments. A tooth impression is taken and sent to our dental labs.

On return of the dental bridges, your bridge dentist screws or cements your new permament bridge over your implant posts. Adjustments and checks on your bite is done to ensure that your new bridge is functioning properly.  You will have a stable and secure solution that allows you to eat what you want.

When you new bridges are installed, some individuals may experience tenderness or sensitivity in teeth. The sensitivity will however disappear over time that may be between a few days to weeks. If your feel sensitivity, rinse your mouth 3xd with warm salt water. (1tsp. of salt in 8oz of water). Avoid hot, cold or acidic food and beverages and take pain relieve medications be taken as prescribed. Sensivity teeth toothpaste and flouride rinse may also be used.

During the first few days, avoid biting on hard foods at least 24 hours after fittng the bridge. from the time they were cemented. Keep the dental bridge area clean.

Both natural bridges and implant support bridges requires the same care as your natural teeth. So, brush and floss your teeth after eating and before bedtime with a soft toothbrush. Clean between the gum line and crown as bacteria can cling on. Sticky toffees, gum and grainy rolls and tough food is advised to be avoided.And visit your dentist for regular check-ups and cleanings.

BIDH dental bridge clinic provides a  wide range of dental bridges materials and dental implant systems. Our dental clinic has its own dedicated all ceramic dental lab for quicker treatment timings and quality controls.

We use the top established dental implant systems from:

  1. Switzerland : Straumann and SIC Invent
  2. USA/ Sweden : Nobel Bicoare

For brdige materials, these follow the same as crowns :

  1. Porcelain-fused to semi-precious crowns prices (>50% gold)
  2. Porcelain-fused to nobel-precious crowns fees (>85% gold)
  3. Zirconia all ceramic crowns costs
  4. Lava crowns fees by 3M

Learn more about BIDH promotions and fees.

Summary

Tooth bridges are basically units of dental crowns adjoined together and placed over existing anchored teeth to close or replace missing gap. Dental bridges are fixed, economical and easy to maintain.

Cantilever bridges, maryland bridges, implant-support bridges and traditional bridges are different types of bridge restorations. Each dental bridge type has its benefits.

BIDH dental bridge clinic has its own dedicated dental laboratory for its ceramic restoration to replace missing teeth. This means your bridge may be delivered faster and adjusted by our lab technician during your bridge fitting visit.

Get a fRee consult

Are you interested to restore or enhance your smile? Do you have any questions specific to your case? How will you look after a smile makeover? Get an online consult with us.

Why choose BIDH Cosmetic Dental Clinic

Veneers dentists
bidh hospital veneer dentistry
  1. BIDH aesthetic dentists are experts on cosmetic dentistry having thousands of veneers and crowns per year. Each with over 10 years of experience in their expertise(s) areas.
  2. Actors, actresses, beauty queens, models have sought after our aesthetic dentist for their hollywood smile.
  3. Many of our highly skilled and artistic cosmetic dentists are American board accredited or graduates on restorative and cosmetic dentistry from USA. Using advance techniques such as super-thin veneers and digital smile design concepts.
  4. Our digital smile desgin (DSD) is Thailand’s top master expert and the only specialist with a double American board aesthetic certification.
  5. They have lecturers and international speakers in the field of of digital smile makeover. The latest techniques and advance technnologies are used to cater to a customized smile profile for a natural yet enhanced overall look.
Digital cosmetic clinic
cosmetic thailand dental clinic
dental x-ray
  • BIDH asethetic dental clinic is one of the few centers in Thailand with an on-site digitalized dental lab for its cosmetic veneers and teeth works.
  • Your teeth are constructed by advanced digital CAD/CAM units combined with the human touch of skilled lab technicians.
  • As our lab technicians are within the same building, your teeth is made on-site for quick treatment delivery timings and immediate chairside adjustments. Most smile makeover cases are thus completed within days.
  • Your cosmetic dental experts utilize dental digital technologies including 3D CT scan, digitalized x-rays, intra-oral cameras, digital smile software and precision computerized milling units.
  • Our cosmetic dentists and BIDH aesthetic dental clinic has won the Best Aesthetic Dental Provider within the Asia pacific region for its high quality smile makeover servces.
  • Featured on numersous national televsion and magazines on their artistry, our cosmetic dental experts are amongst the top specialists in Thailand.
Top dental clinics

Bangkok Dental Clinics Specialization

Top