What is a dental crown?

A dental crown is also known as or dental cap and is a custom-made restoration that covers over a whole tooth. This tooth may have sustained significant loss of structure or damage, the tooth is therefore analogical to being a thimble capped over your finger. Dental crowns are used to restore teeth to a certain shape and size. They provide strength and improves the appearance of the tooth.

At BIDH, our cosmetic dental crowns clinic has its own dedicated on-site dental lab for all ceramic restorations. This ensure shorter treatment timings and better quality control on asethetics for our crowns teeth works for you. 

Types of Crowns

gold dental crowns

Porcelain-fused to Metal (PFM) Crown

Porcelain fused to metal-alloy crowns are tooth-colored. PFM crowns offer a good combination of aesthetics and durability used to restore posterior teeth where the chewing forces are the strongest, the inner structure of the gold or metal alloy makes it adaptable and withstands biting load.

The higher the percentage of gold alloys within PFM crowns, the higher the price of the crowns. At our BIDH crowns clinic, PFM crowns offered include:

  1. Standard alloy (no gold) crowns
  2. Porcelain fused to semi-precious gold alloy crowns
  3. Porcelain fused to high-precious gold alloy crowns
porcelain crowns

All Porcelain Crown

All porcelain crowns or all ceramic crowns provide good aesthetic and are commonly used for front anterior teeth. With today’s advances on ceramics technologies, all porcelain crowns such as zirconia ceramics now provides metal-free high strength crowns.

Brands or systems of all-ceramic porcelain crowns used BIDH crown dental clinics include:

  1. Lava Zirconia from 3M
  2. Cercon from DeguDent
  3. IPS Empress from Ivoclar Vivadent
  4. Procera from Nobel Biocare
Full gold crowns

All Gold Crown

Gold dental crowns are the most durable and offer the most precise fit. Gold dental crowns does not chip. There are cover gold in color and thus do not look like natural teeth that PFM and All ceramic crowns offers. The cost for gold crowns is also the most expensive option due to the amount of gold content.

Gold can be mixed with other dental alloys to reduce crowns costs and this is why PFM semi and high precious crowns costs varies.

Restorative dentistry not just re-installs teeth but can enhance your smile. Using advance techniques such as Digital Smile Design (DSD), our master prosthodontist customized your smile to your facial profile.

restorations with dental crowns

Consult for a smile makeover at our crowns clinic with natural-looking dental veneers by top comsetic dentists in Thailand.

Crowns Case Gallery

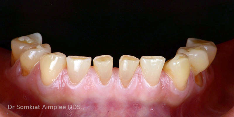
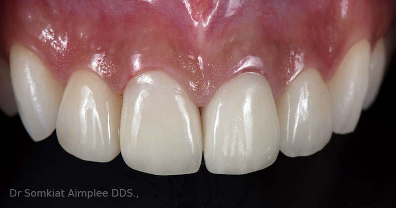
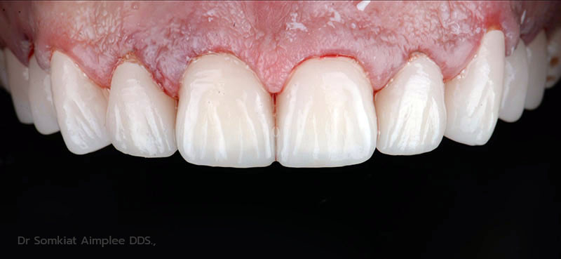
before dental crowns

After

after dental crowns

After

before teeth crowns

Before

after teeth crowns

Before

before crown

Before

after tooth crowns

After

Why Dental Crowns?

  1. Dental crowns protect severely damaged tooth or tooth weakened by decay, fracture, large fillings or teeth that has had root canal therapy from fracturing. Teeth with large fillings tend to “flex more” forcing the tooth apart possibily causing stress fractures. It hold together cracked or weaken teeth and seal the tooth from further decay.
  2. If teeth are discolored and irregular, dental crowns cover these teeth to improve cosmetic appearance and restore your smile.
  3. Your natural function and position of the teeth is preserved with dental crowns as it replaces missing gaps within dental bridges.
  4. For a single missing tooth replaced by dental implants, dental crowns acts as the false tooth over its post to provide new function to your bite.
dental crown review

Dental crowns patient review at BIDH bangkok dental crowns clinic

Questions on Dental Crowns

The dental crowns treatment process normally takes around 3 dental visits with your prosthodontist. During your first visit, an evaluation is done to confirm your plan for crowns.

On confirming crowns treatment, your dentist reshapes your existing tooth and remove any damaged structure or cavities. Tooth impression and records are taken on the color, length, size and shape of the crown. A temporary composite crown is placed over the prepared tooth whilst you wait for the delivery of your permanent PFM, all porcelain or all gold crown.

When your dental crown is ready, your prosthodontist makes an appointment with you to fit your porcelain crowns. The temporary crowns are removed. The permanent crown is then cemented into place. Your dentist checks for any adjustments. You will need to care for your crowns, brush and floss as with your natural teeth.

Your prosthodontist may request a re-check visit after a few days later to ensure that there is no discomfort.

After a temporary or permament crown is done. Some people may experience some sensitivity in teeth but this does gradually disappear after a few days to weeks. If you do feel sensitivity, avoid hot, cold or acidic food and beverages. You are able to take pain relieve medications, use flouride rinse or toothpaste for sensivity teeth.

During the period when you first receive and fit your dental crown, avoid chewing on or eating hard foods on the restorations for at least 24 hours. If you are feeling discomfort or swelling,  rinse with warm salt water. Keep the crown area clean to maintain allow your gum tissue to heal and adapt to the contour of your crown. This is so the surrounding tissue conform to a natural, healthy position.

Dental crowns require the same regular and consistent home and professional dental care as your natural teeth to prevent decay at the tooth-dental crown junction. Do brush after eating and before bedtime around the crown with a soft toothbrush, especially where the crown meets the gum line. At the gum line harmful bacteria can be harbored to cause decay and gum disease. Floss at least once to twice a day. Use the proxy brush or floss threader to remove plaque under and around these areas to maintain good oral hygiene. Buildup of food debris and plaque on your teeth and gums can become infected.

When your new crowns, be careful about chewing toffees, gum, grainy rolls and tough food in this area.

At our bangkok crown clinic, checkup and consultation with our prosthodontist is complimentary. Do bring up any concerns or questions you may have about restoring your teeth.

Types of dental crown treatments at BIDH crown clinic include:

  1. PFM semi-precious crowns fees (>50% gold)
  2. PFM high-precious crowns prices (>85% gold)
  3. All ceramic zirconia crowns fees
  4. 3M Lava crowns costs
  5. Composite crowns prices

Learn more about BIDH promotions and fees.

Summary 

Dental crowns or caps covers the entire tooth to restore and protect existing tooth. Tooth crowns may be made from porcelain fused to metal alloy, all ceramaic or gold. With advancement in ceramic materials, all porcelain crowns is increasingly used for dental crowns.

BIDH crowns clinic has its own on-site dedicated dental lab to allow for faster treatment timings, quality control and aesthetic adjustments.

Get a fRee consult

Are you interested to restore or enhance your smile? Do you have any questions specific to your case? Unsure if you need a crown. Get an online consult with us.

Why choose BIDH Cosmetic Dental Clinic

Veneers dentists
bidh hospital veneer dentistry
  1. BIDH aesthetic dentists are experts on cosmetic dentistry having thousands of veneers and crowns per year. Each with over 10 years of experience in their expertise(s) areas.
  2. Actors, actresses, beauty queens, models have sought after our aesthetic dentist for their hollywood smile.
  3. Many of our highly skilled and artistic cosmetic dentists are American board accredited or graduates on restorative and cosmetic dentistry from USA. Using advance techniques such as super-thin veneers and digital smile design concepts.
  4. Our digital smile desgin (DSD) is Thailand’s top master expert and the only specialist with a double American board aesthetic certification.
  5. They have lecturers and international speakers in the field of of digital smile makeover. The latest techniques and advance technnologies are used to cater to a customized smile profile for a natural yet enhanced overall look.
Digital cosmetic clinic
cosmetic thailand dental clinic
dental x-ray
  • BIDH asethetic dental clinic is one of the few centers in Thailand with an on-site digitalized dental lab for its cosmetic veneers and teeth works.
  • Your teeth are constructed by advanced digital CAD/CAM units combined with the human touch of skilled lab technicians.
  • As our lab technicians are within the same building, your teeth is made on-site for quick treatment delivery timings and immediate chairside adjustments. Most smile makeover cases are thus completed within days.
  • Your cosmetic dental experts utilize dental digital technologies including 3D CT scan, digitalized x-rays, intra-oral cameras, digital smile software and precision computerized milling units.
  • Our cosmetic dentists and BIDH aesthetic dental clinic has won the Best Aesthetic Dental Provider within the Asia pacific region for its high quality smile makeover servces.
  • Featured on numersous national televsion and magazines on their artistry, our cosmetic dental experts are amongst the top specialists in Thailand.
Top dental clinics

Bangkok Dental Clinics Specialization

Top